
At Twin Oaks Dental, we believe in reducing overall inflammation. One of the most visible and measurable sources of chronic inflammation is the one we spend the most time working on: the mouth. Oral inflammation provides a window into systemic health and also offers a modifiable risk factor that can influence overall wellness.
Oral inflammation is tangible. Patients and clinicians can see bleeding or swelling. This visibility makes it an ideal candidate for early intervention. Treating oral inflammation will prevent tooth loss AND is a key part of managing generalized inflammation.
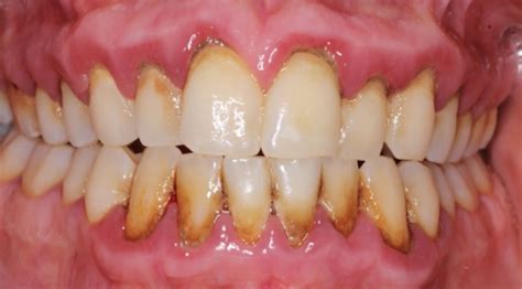
What does oral inflammation look like?

Periodontal Disease

Periodontal disease is an inflammatory condition in which chronic bacteria and inflammation affect the supporting structure of the teeth. The chronic bacteria and inflammatory cycle enter the bloodstream from diseased tissue. Periodontal disease has been consistently linked in scientific literature to other system conditions including cardiovascular disease, diabetes, rheumatoid arthritis and Alzheimer’s disease.
By including oral health in the broad inflammation conversations, wellness will become more measurable. Periodontal therapy, proper oral hygiene and anti-inflammatory nutrition can dramatically reduce overall inflammation. Patients will notice an improvement in weeks, not months. The mouth-body connection is a pivotal opportunity for change. Managing oral inflammation will notably improve all true anti-inflammatory lifestyles.
To learn more, schedule an appointment for an evaluation.
Our team at Twin Oaks Dental is more than just skilled professionals; we are passionate individuals who strive for excellence in the field of dentistry. Every member of our team maintains the highest levels of accreditation and is committed to ongoing education, ensuring they remain at the forefront of the latest advancements in dental care.
Innovation is a core value of our practice, and we live this value through the continuing education our staff receives along with the leading technology our industry has to offer.
So, if you're seeking more than just a dental appointment, but a transformative wellness experience, Twin Oaks Dental is the place for you.
MORE ABOUT OUR PRACTICE AND TEAM
Systemic Health Screening Built Into Every Visit
We routinely assess for oral signs connected to cardiovascular risk, diabetes, sleep apnea, and inflammatory disease. Early detection at the dental chair can be genuinely life-changing — and we take that responsibility seriously.
Biocompatible, Conservative Care
We are a mercury-free, metal-free practice. We use materials chosen for safety and long-term compatibility with your body, and we follow established safe amalgam removal protocols. Every treatment recommendation is grounded in what's best for your health — we never recommend what isn't necessary.
Advanced Technology for Precise, Comfortable Treatment
From Guided Biofilm Therapy — a precision hygiene system that replaces uncomfortable scraping — to digital low-radiation imaging and same-day treatment options, our technology is chosen to make your care more accurate, more efficient, and significantly more comfortable.
Collaborative Care with Your Health Team
We believe your dentist should be part of your broader healthcare picture. We are building collaborative relationships with physicians, sleep specialists, and other providers in the north metro so that when we identify something beyond our scope, you have a clear path forward. If you have an existing physician or specialist, we welcome the opportunity to coordinate care.
Comfort-Focused, Judgment-Free Environment
We've partnered with Twin Anesthesia to offer professionally administered sedation for patients who need extra support. Beyond sedation, our entire approach is built around clear communication, paced appointments, and a team that genuinely listens. Dental anxiety is common and completely valid — we meet you where you are.
Wellness Services That Complement Your Care
Twin Oaks extends beyond dentistry into esthetic and wellness services — including skincare treatments and IV therapy — reflecting our commitment to supporting your health in every dimension. Our RepeatMD membership gives patients streamlined access to the full scope of our services with built-in rewards and savings.
Be the first to comment